口腔外科症例解説 Case Description
歯科口腔外科に関連する症例解説を行います。普段聞きなれないものが多く、難しいものもありますが、なるべく分かりやすく紹介していきます。
唾石症

唾石は、大唾液腺(耳下腺、顎下腺、舌下腺)からの唾液排出管(導管)中に結石が生じ、唾液流出障害や炎症が起こる病気です。
ガマ腫・Ranula

ガマ腫とは、舌の下側にある唾液を作る唾液腺(舌下腺)から唾液が正常に流出できなくなり、唾液が溜まって舌の下、口腔底部が腫れる病気です。
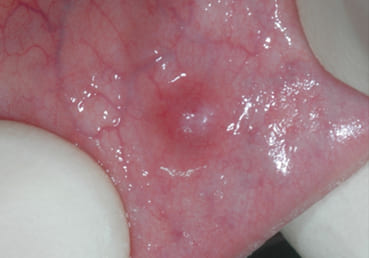
エプーリス

エプーリスは炎症や慢性機械的刺激などによる反応性増殖物とされ、真の腫瘍とは異なります。
口腔カンジダ症

口腔カンジダ症は主にCandida Albicansなどの真菌(カビの一種)が口腔内の粘膜に感染して発症します。
線維腫

舌や頬粘膜部に好発する粘膜上皮下の線維性結合組織の増生より生じる充実性の腫瘍である。
粘液嚢胞

唾液が粘膜下に貯留した疾患を粘液嚢胞と言います。
口腔白板症

舌や歯肉、頬粘膜、口腔底、口蓋などにできる擦っても剥離(はくり)しない白斑(粘膜が白くなる病変)です。
血管腫

血管に似た細胞が増殖している良性の腫瘍(できもの)を血管腫といいます。「血管腫」は全身にできる様々な病気を含めた病気を指します。
骨形成線維腫

骨形成線維腫は骨からできる骨原性の腫瘍とセメント質(歯の根の部分にある象牙質の外を覆う硬組織)からできたいわゆる歯原性の腫瘍の二つに分類されていました。
上顎洞内歯牙(歯根)迷入

上顎洞に歯や歯の一部、歯根などが迷入することを上顎洞内歯牙迷入と言います。
口腔底歯牙迷入(翼突下顎隙)

翼突下顎隙(よくとつかがくげき)とは、下顎枝と内側翼突筋との間にある組織隙のことであり、そこに歯や歯の一部、歯根などが迷入することを口腔底歯牙迷入と言います。
歯肉増殖症

歯肉が歯周病(歯槽膿漏)で、いわゆる膿を持って腫れるのではなく、歯茎の上皮化にある線維性組織を中心に増殖する病気を歯肉増殖症と呼びます。
顎関節突起骨折

口をあける時、食事をしたり話したりした時に下あごが動きますが、その時の動きの支点になるのが顎関節で、耳の前にある顎関節は側頭骨の下顎窩と下顎の関節頭で構成され、この骨が折れるのが顎関節突起骨折です。
鼻口蓋管嚢胞

上顎の正中で前歯の根の後ろあたりに、鼻口蓋管(切歯管)と呼ばれる、神経と血管が通る管があります。ここにできる皮袋=嚢胞が、鼻口蓋管あるいは切歯管嚢胞とも呼ばれる病気です。
地図状舌

地図状舌とは地図のような白い斑と赤い斑の模様が舌の表面にみられる病気(状態)です。
白色海綿状母斑

口腔・鼻腔・食道・直腸・膣・肛門など扁平上皮粘膜領域に発生し、広範囲の粘膜が白色または銀白色を呈し、浮腫状・スポンジ状で凹凸不整な海綿状を示す疾患。
頸部リンパ節炎

頸部のリンパ節が痛みを伴ったり伴わなかったりして腫れる病気です。首のリンパ節が腫れたら早めに診察を受けて診断、治療を行いましょう!
口腔扁平苔癬

前がん状態(口腔がんになる可能性がある粘膜疾患)扁平紅色苔癬ともいわれ、口腔粘膜だけでなく皮膚にも発生することがある疾患です。
舌小帯短縮症

舌の裏側の真ん中に口の底に向かっているヒダを舌小帯と呼び、このヒダが生まれつき短いことがあり、これを舌小帯短縮症あるいは舌小帯強直症といいます。
BlandinNuhn(ブランディンヌーン)嚢胞

口腔粘膜に多く存在する唾液を作る器官で、唾液が作られるものの口腔内に流出できない状態で、粘膜下の唾液と同じ成分の粘液が貯留する現象をBlandinNuhn(ブランディンヌーン)嚢胞といいます。
類皮・類表皮嚢胞

類皮・類表皮嚢胞は、先天的には胎生期の迷入外胚葉組織、後天的には炎症や外傷などにより迷入した上皮組織に由来すると考えられている軟組織由来嚢胞で、顎口腔領域の他には卵巣や肛門に好発するとされています。
外科手術を必要とする顎関節の疾患

顎関節は、耳の前に存在するいわゆる顎の関節で口を開ける、閉じるなどの食べる、しゃべるなどの機能にとっても重要な意味を持つ関節です。
口腔内の黒色病変

口腔粘膜の色素沈着には、内因性のものと外因性のものがあり、内因性の主なものはメラニン色素の沈着、血液ヘモグロビン由来の色素沈着です。
逆流性食道炎の口腔状態

逆流性食道炎は、胃酸の逆流によって引き起こされる病気です。
口底部に発症した神経鞘腫

神経鞘腫はSchwann細胞の増殖と膠原線維性基質からなる良性腫瘍であり、好発部位は四肢の屈側、頭頸部(頭蓋内、頸部)で、口腔領域の発症は少ないと報告されている。
口腔腫瘍

口腔腫瘍とは、口腔(口の中)にできた腫瘍(できもの)のことです。他の臓器と同様に良性腫瘍と悪性腫瘍(口腔がん)に分けられます。
口唇腫瘍

口唇は、筋肉(口輪筋)、結合組織、血管、上皮からなる部位で口唇腺という小唾液腺も存在する部位です。
頬粘膜腫瘍

頬粘膜は、筋肉(頬筋)、結合組織、血管、脂肪、上皮からなる部位で小唾液腺も存在する部位です。
