ガマ腫・Ranula Glossary Ranula
ガマ腫・Ranulaとは
ガマ腫とは、舌の下側にある唾液を作る唾液腺(舌下腺)から唾液が正常に流出できなくなり、唾液が溜まって舌の下、口腔底部が腫れる病気です。
口の底(口底部)が腫れる舌下型が多く大半を占めますが、顎の下の部分が腫れる(顎下型)もあります。顎下型では、ガマガエルがのどを膨らませた様に見えることからガマ腫という名前が付けられていますが、唾液腺から唾液が正常に流出されず、粘液(唾液成分)が貯まることから粘液貯留嚢胞と呼ばれることもあります。
何らかの機械的刺激(歯ブラシや食べ物で傷つけたとか)が原因で唾液の出口(開口部)が閉鎖され、唾液の流出障害から唾液粘液が粘膜下に溜まることにより出来ることがと考えられています。
痛みを伴うことはほとんどありません。舌下型では大きくなると、食事や発音時に気になることがあります。顎下型の場合は、ガマ腫の由来のごとく顎下が膨れます。ガマ腫は女性に多く、頻度は男性の3倍ほどと言われています。
検査と診断
舌下型ガマ腫では視診で容易に、診断することができます。顎下型の場合には触診などにより比較的簡単に診断することができますが、舌下・顎下型などその範囲を知りたい場合にはMRIを撮影することでより的確な診断ができます。
治療法
その状態により、偽膜性と萎縮性に分けられれ、さらに急性と慢性にわけられます。
開窓療法(嚢胞を上方を切開して唾液を外に出す治療)
ガマ腫は、口腔内に出るはずの唾液が排出障害で粘膜下に貯留してできる病変ですので、その上面を切除して唾液を外に出し唾液が粘膜下にたまらないようにしようとする治療です。
ガマ腫の治療の第一選択であり局所麻酔で出来る簡単な手術ですが、粘膜下の組織が表面に露出するため、術後に痛みを伴うことが多く、また、粘膜が露出した舌下腺の表面を覆い再発することも多く(再発率が50%以上との報告もあります。)必ずしも良好な成績が得られているわけではありません。
さらに舌下型ガマ腫に対して開窓術を施行後、顎下型ガマ腫に移行する症例も確認されています。

ガマ腫に対する開窓療法
ガマ腫上方を切開し(B)、内容物を排出させ(C)、周囲粘膜と嚢胞壁を縫合して内容物が粘膜下にたまらないようにする(D)治療。
舌下腺摘出術
何度も再発を繰り返す場合には舌下腺とガマ腫をともに摘出する手術が行われます。
原因である舌下腺を摘出する手術であり、再発することもない根治術ですが侵襲が大きくなることと、耳下腺、顎下腺、舌下腺という三大唾液腺の1つを摘出することや、全身麻酔下での手術となってしまうこともあり、あまり行われていません。
OK-432の注入療法
手術を行わない方法としてはOK-432(ピシバニール、A群溶血性連鎖球菌の弱毒の自然変異株(Su株)をペニシリンで処理した製剤:日本で開発され、半世紀近く使われています)をガマ腫内に注入する方法です。
1.希釈液置換法(萩田原法)、2.高濃度注入法、3.吸引注入法(萩田変法)があるが、舌下腺や粘液嚢胞に対しては、高濃度注入法が選択されます。
- 希釈液置換法(萩田原法)
嚢胞内容物を可及的に吸引し、吸引量と同量程度に希釈したOK-432(約0.1KE/ml)を注入する方法;顎下型ガマ腫に行われてきたが変法に移行している。 - 高濃度注入法
内容物の吸入を行わず、高濃度に調整したOK-432(0.5KEか1.0KEを0.2ml程度の生理食塩水で溶解したもの)を27-30Gの注射針で嚢胞へ直接注入する方法;舌下型ガマ腫や粘液嚢胞に適応し良好な治療成績を上げている。 - 吸引注入法(萩田変法)
嚢胞内容物を可及的に吸引し、OK-432(1KE, 2KE)を4-6mlの生理食塩水に溶解したものを嚢胞内に注入する方法;顎下型ガマ腫に適応している。
この方法は注射する薬品が、元々が細菌を無毒化したもののため、投与された部位に強い炎症を起こします。ガマ腫の中に注入することにより、炎症により唾液の吸収が促進されると共に、唾液の漏れ出ている唾液腺組織が炎症でふさがれ、結果として病巣が縮小・消失して行きます。先ほど述べたように炎症が惹起されるため、局所に痛みや発熱が認められますが、普通は2日ほどで消失します。
注射して1~2週間程、腫れが強い状態が続いた後に徐々に縮小し4~8週ぐらいで腫れは消失してきます。多くの場合は1回か2回以内の注入で消失ないし縮小しますが、さらなる複数回の注入が必要な場合もあります。ガマ腫では90%以上の治療成績を収めていますが、治癒までどうしても時間がかかります。
また、OK-432にはペニシリンが含まれますので、ペニシリンアレルギーのある場合は本治療を行うことは出来ません。また、この治療法では一時的に腫れが強くなりますので、気道の近くの場合は呼吸困難などが起こる可能性もあります。

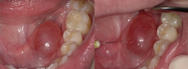
OK-432の注入療法
高濃度注入法27-30Gの注射針で嚢胞へ直接注入する方法。
治療費用
開窓療法ならびに舌下腺摘出術については保険治療になります。
OK-432 注入療法については保険適応外になるため、1KEまで:22,000円、2KE:33,000円(税込み)の自費診療となります。
