口腔内の黒色病変 Glossary Black Lesions
口腔内の黒色病変
口腔内の黒い病変
口の中の粘膜に黒くなった部分がある、あるいはそれを見つけたという場合、以下の症例解説を参考にしてください。
口腔粘膜の色素沈着には、内因性のものと外因性のものがあり、内因性の主なものはメラニン色素の沈着や血液ヘモグロビン由来の色素沈着です。メラニン色素は、日に焼けた時に皮膚が黒くなるもとになる色素ですので、その色素沈着は、口腔粘膜が黒くなる原因になります。
これに対して、外因性の色素沈着は通常、職業上あるいは薬剤や嗜好品の形で局所的ないしは全身的に取り込まれた物質が原因となります。
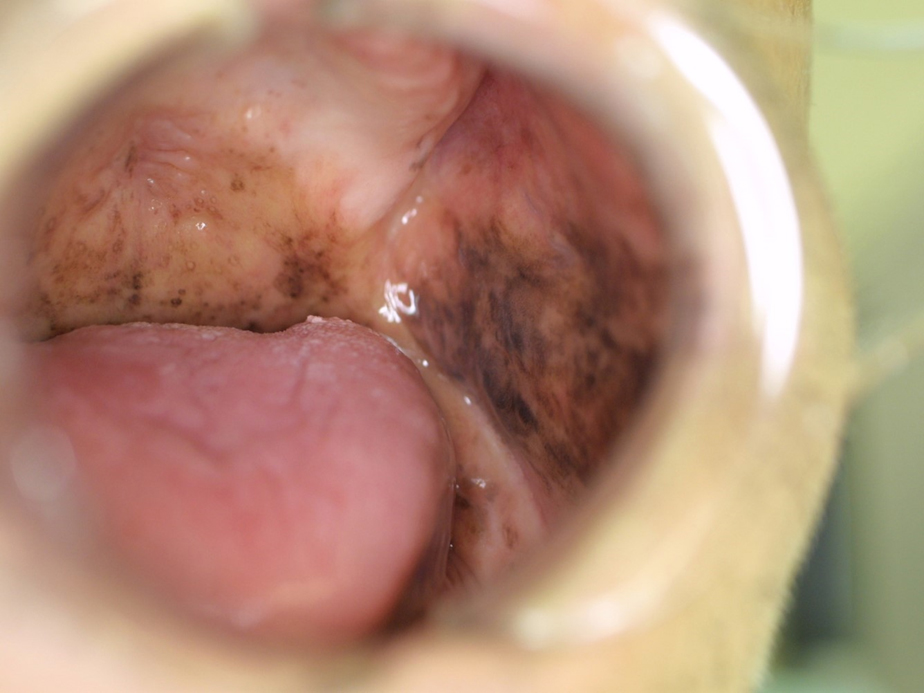
症例1
内因性び漫性メラニン色素沈着・生理的色素沈着
歯肉、口唇、口蓋、頬粘膜に生理的にメラニンが沈着することがしばしばおこります。また加齢とともに粘膜でも皮膚と同様に色素沈着の傾向は強まります。症例は、頬粘膜並びに口蓋から軟口蓋にびまん性に広がったメラニン色素沈着です。びまん性であるのが特徴で特に処置の必要はありません。

症例2
色素性母斑の症例
メラニン色素産生細胞が過誤腫(ある種類の細胞が過剰に増殖して腫瘤をつくること)があります。いわゆる「ほくろ」で、悪性黒色腫・血管腫などとの鑑別が必要です。
処置としては、摘出するのが望ましいと思われます。口腔内の色素性母斑は、悪性化を考えて積極的に摘出する場合もあります。(症例③も同様の色素性母斑です)

症例3
色素性母斑の症例2

症例4
外因性の色素沈着
差し歯の中に、金属を使っているものがあり、その金属部分からイオン化して逸出した重金属による色素沈着は、前歯も含めて比較的に多くの患者さんで見られます。
その他にも、過去に薬剤として投与された亜鉛、水銀、また職業性に慢性に接触して吸収された鉛、水銀、銀などが歯肉など慢性炎症のある部位にとりこまれ、着色したものが外因性の色素沈着に含まれます。

症例5
悪性病変
症例は、上顎に発生した悪性黒色腫の口腔内所見です。異常着色のなかで注意すべきは悪性黒色腫で、口腔内では比較的稀なものですが、きわめて悪性の経過を示し、増殖が速く、遠隔転移を起こしやすいので予後不良です。
初期のものは限局性の色素性母斑との鑑別が困難なこともあります。同様に、悪性腫瘍に関連して発生する黒色の病変としては、黒色表皮腫があるとされていますが、悪性黒色腫を約10例ほど経験した私でも黒色表皮腫は未だ経験おらず、日常臨床で遭遇することは極めてまれと考えられます。
発現年齢は50歳以降に多く、性差はありません。硬口蓋と上顎歯肉に多く発生しますが、下顎歯肉、頬粘膜などにも生じます。
黒褐色に着色した種瘤で、種々の大きさや形を形成しますが、着色が明らかでない無色素性悪性黒色腫もあります。その場合にはサテライト病変として腫瘤の周囲に黒色病変をも認めることがあります。
リンパ行性あるいは血行性の転移が多く、予後は極めて悪いものです。治療は化学療法なども補助的療法も踏まえて、リンパ節の郭清を含めた外科手術が主ですが、予後は良いとは言えません。

その他の症例
全身疾患と関連して口腔内に黒色病変を認めるもの
アジソン病
副腎皮質の慢性機能不全により皮膚、粘膜の色素沈着をきたす希な疾患です。原病の治療と、副腎皮質ホルモン製剤等の投与とともに、栄養の改善を図ります。必要があれば口腔内病変を切除します。
ポイツージェガース症候群
手、足、口腔粘膜の多発性色素斑と、胃腸にポリープを生じるまれな優性遺伝性疾患です。口唇に色素斑を認めるようになります。基本的には放置してもよいですが、審美的要求の強いときには脱色などを試みます。
その他
「アルブライト症候群」「レックリングハウゼン病」などもありますが、いずれも稀な疾患です。
