口腔白板症 Glossary Leukoplakia
白板症とは
人の体は皮膚で覆われており、口の中は口腔粘膜で覆われています。舌や歯肉、頬粘膜、口腔底、口蓋などにできる擦っても剥離(はくり)しない白斑(粘膜が白くなる病変)です。
口腔粘膜粘膜は通常、ピンク色に見えますが、白板症では上皮が肥厚し、その下の毛細血管が透けて見えなくなり、結果的に白く見えます。
WHO(世界保健機構1978)では白板症は「摩擦によって除去できない白斑で、他の診断可能な疾患に分類できないもの」と定義されています。
口腔粘膜が白くなる病気はカビ(カンジダ菌)が増殖した真菌症(口腔カンジダ症)やニコチン性口内炎、口腔扁平苔癬など、白板症の他にもいくつかあります。カビの場合はこすると取れますが、白板症は取れることがありません。このように、臨床的あるいは病理学的に他のいかなる疾患の特徴も有しない白色の板状ないし斑状の病変を白板症といいます。
口腔白板症の症状
通常、ピンク色をしている口腔粘膜ですが、その口腔粘膜が白くなり、その部分を拭っても取れないものが白板症ということになります。すぐに白色病変が消えることはなく、長期にわたり存在します。ということは、白色病変があっても消えたり出現したりするものは白板症ではないということです。
周囲との境界は一般的に明らかであるが不明瞭な場合も見られます。
粘膜は柔軟性を失い、いくぶん硬い場合が多くみられる。
大きさは数㎜の小範囲なものから口腔全体におよぶもの、色も白味がかったものから灰白色を呈するものや褐色がかった着色を呈するものもあります。
通常、自発痛、接触痛などの自覚症状はありません。
場合によっては、白い部分の中に赤い部分が混ざって見えるものやいぼのように盛り上がっている場合もあます。前述したように基本的に痛みはありませんが、赤い部分はがびらんや潰瘍であれば、そこに食べ物が当たって痛んだりしみたりといった症状を伴うこともあります。
白板症の表面は滑らかな場合も少しざらざらしている場合もありますし、びらん・潰瘍を伴い、一方で角化して盛り上がったりしているデコボコした表面の場合もあります。
口腔白板症の原因
口腔白板症の原因は不明ですが、局所的な原因として、歯の不適合の詰め物やかぶせ物、虫歯などを放置した場合の歯牙鋭縁、不適合充填物、あっていない入れ歯・義歯、何回も同じ場所を噛む習慣性咬傷、過剰な喫煙、飲酒、辛い物や熱いものなどの刺激性食品の嗜好、異なる金属で詰め物やかぶせ物をしている場合に生じるガルバニー電流、カンジダ感染などの慢性的な機械的・温熱的・化学的刺激があげられます。
また、全身的な原因としてエストロゲン欠乏、ビタミンAおよびB欠乏、高コレステリン血症などの関与があげられています。
口腔白板症の発現頻度および好発部位
40歳以上の男性に多くみられます。好発部位は、一般的に頬粘膜や歯肉ですが、もともと硬い歯肉や口蓋(口の天井の部分)にできる白板症と舌や頬粘膜にできる白板症では以下に記載するように悪性化の割合などが異なるため注意が必要です。
口腔白板症の悪性化
口腔白板症はそのまま放置すると、口腔がんになる可能性がある症状として口腔潜在的悪性疾患と呼ばれています。癌化率は5~10%と推定されていますが、経過が長いほどがんに変化する可能性が高くなり、10年間では約30%ががん化するとの報告もあります。
悪性化頻度は60歳代の女性に多く、癌の好発部位である舌辺縁、舌下面、口底や頬粘膜に生ずる白板症は特に厳重な経過観察を要します。赤い部分が混在する紅斑型、びらんや潰瘍をつくるびらん型、潰瘍型、広くいぼ状となっている結節型、斑点型などに悪性化する傾向があります。
口腔白板症を経過観察しているときに、
- 白斑の急激な拡大
- 病巣中に疣状ないし乳頭状の腫瘤の発生
- 比較的平滑の局面に亀裂が生じて凹凸不整ができるとき
- 境界不明瞭なとき
- 潰瘍の形成
- びらんの出血
などのようなとき悪性化を疑います。
口腔白板症の治療
まず、視診と触診により、白板症病変を噛んだり傷つけたりしている歯や差し歯さらには入れ歯がないか確認し、歯を丸めたり入れ歯を調整し、原因となるような不適合な詰め物やかぶせ物などがある場合にはも除去して、適切な治療を行います。
経過観察を行う場合でも、悪性化を念頭に入れ、少しでも悪性化の兆候が見られた場合には、擦過細胞診を施行したり、診断を確定するためには病変の一部を切り取り病理組織検査を行う必要があります。
根本的な治療としては、小範囲のものは原則として切除します。以前は薬物療法や凍結療法、レーザーによる治療も行われていましたが、がん化する可能性もあるため白板症の治療法の中で最も確実な方法は、外科的切除であると考えられています。なお、切除範囲の決定に際しては、正常では角化しない粘膜上皮が角化する状態を白板症ということができることから、ルゴール染色の応用が有効です。
【CASE.01】
左側頬粘膜白板症 60歳代 男性
左側頬の違和感を主訴に当クリニックを受診。左側の頬に白色病変を認め白板症の臨床診断下、細胞診を施行した。細胞診の結果はClass IIIbであり、厳重な経過観察とした。喫煙者であり禁煙を指導した。(費用:保険診療のみ)
白板症はがん化する可能性もあり、数か月ごとの厳重な経過観察が必要である。

初診時の口腔内所見 左側頬粘膜部に白色病変が認められる。紅斑の混在する部分も見られるため、悪性化の有無を含めた厳重な経過観察が必要になり、場合により生検も行うことが必要となる。
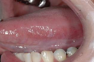
【CASE.02】
左側舌白板症 50歳代 女性
左側舌の違和感と白書病変の精査を主訴に当クリニックを受診。左側の舌に白色病変を認め白板症の臨床診断下、細胞診を施行した。細胞診の結果はClass IIであり、問題ないことをお伝えしたが、病変が小さいうちに切除を希望したため、全摘生検を行った。組織診断の結果は軽度上皮性異形成であった。その後再発等ない(費用:保険診療のみ)
初診時の口腔内所見 左側舌縁部に白色病変を認める。大きさも小さく患者さんと相談して全摘生検を施行した。
【CASE.03】
左側硬口蓋白板症 30歳代 男性
左側硬口蓋のざらつき感を主訴に当クリニックを受診。左側口蓋部に白色病変を認め白板症の臨床診断下、細胞診を施行した。細胞診の結果はClass IIであった。喫煙者であったため禁煙を指示して経過観察を行った。病変の消失は認めないが大きな変化はない。(費用:保険診療のみ)

初診時の口腔内所見として、左側硬口蓋部に白色病変を認める。角化粘膜の病変であり、細胞診のClass IIの結果も併せ、経過観察を行っている。
【CASE.04】
右側頬粘膜白板症 60歳代 男性
右側の頬粘膜の白色病変に気づき、精査を主訴に当クリニックを受診。右側の頬粘膜の広範囲にかなり肥厚したとみられる白色病変を認め、白板症の臨床診断下、生検を施行した。病理組織診断の結果は中等度上皮性異形成であり、厳重な経過観察をしていたが、2か月後に紅斑を伴う部分が出てきたため、高度異形成あるいは初期がんへの変化を疑い、大学病院口腔外科を紹介した。その後、初期がんの診断にて大学病院口腔外科で切除術を受けた。広範囲の病変であったが一部ががん化した状態であり、早期のがんで切除できたことから再発もなく経過良好である。(費用:保険診療のみ)

初診時の口腔内所見として、右側頬粘膜に広範囲に白色病変を認める。

2か月後の口腔内所見として、紅斑の部分の変化が見られたため大学病院を紹介した。


