ボロボロの歯の治療 Ravaged Teeth

ボロボロの歯になってしまった方
はじめにIntroduction
ボロボロの歯や口になりたくてなる方はいません。
虫歯が痛い、歯周病で歯がグラグラして出血したり、膿が出たりしていると分かっていても、歯医者さんへ行く時間がない、恥ずかしくて行けない、歯科医院、歯医者が怖い、嫌いなどの理由で痛み止めを服用するなどして我慢しているうちにボロボロになられた方がほとんどだと思います。
では、どうしたらよいのでしょうか?
意を決して自分にあった歯医者さんを見つけて治療するしかありません。この説明が一歩を踏み出す勇気を与えられたらと思います。
ボロボロの歯、
口腔内を放置することの意味Leave alone
見た目が悪いだけではなく、
生活の質が低下する
ボロボロの歯は、ただ見た目が悪いということだけではなく、食事をする際の痛みや不便さ感じ、栄養バランスの取れた食事を摂ることが難しくなり、健康状態の悪化もつながります。
また、歯がないと発音にも影響し、会話がしずらく、コミュニケーションの壁となることもあるでしょうし、歯がボロボロとの見た目の印象の悪化で社会的な自信を損ね、人と接することへの不安を感じ、孤立感やうつ症状を引き起こす可能性もあり、精神的にも悪影響を及ぼすこともあると思います。
温存できる歯を失う可能性
患者さん自身が「もうだめだ!」と自己判断された歯でも歯科医師が精査すると温存できる歯も少なくありません。
そのまま放置すると温存することができない歯でも今、勇気をもって歯科医院を受診することにより歯が保存できる可能性があります。
隣の歯に影響がある
ボロボロの歯を放置するとその歯の根に起因する骨の中の病変が隣の健全な歯に影響をあたえ、連鎖的に他の歯の健康も害することになるのです。
食べたり飲んだりすることのみならず、
死にかかわる重傷な病気につながることも
歯を失うことは、全体の噛み合わせや口内環境に大きな影響を及ぼしますが、それだけではなく心筋梗塞や脳梗塞、アルツハイマー型認知症などにもつながります。
歯がボロボロになる原因は、虫歯や歯周病ですが、重度の歯周病の患者さんでは歯周病菌が血管内に入り込み全身をめぐって先に記載したような脳梗塞、心筋梗塞、認知症などの原因になることがわかっています。命を守るためにも、早期の治療を検討しましょう。
歯がボロボロになっている人に
適した歯科医師の選び方Choice
適切な歯科医師そして歯科医院を選ぶことは、歯がボロボロの状態を改善するために非常に大切です。
ボロボロの歯が温存できるのか否か、全体的にどのような順序で治していくのか、患者さんの希望と、費用がどのくらい必要で、どこまでできるのかなど、歯科医師の総合的な診断力と治療計画の能力だけではなく、患者さんの希望をできるだけ汲み取る医療人として患者さんに寄り添う包容力が必要だと思います。
患者さんを家族や大切なひとのように思い治療する信念が必要だと考えます。
具体的なポイントは下記の通りです。
総合的なアプローチ
歯がボロボロの方は、複数の問題を歯や口の中に抱えている場合も多く、1つの専門分野に限定された治療ではなく、総合的なアプローチが求められます。
総合的な治療とは、虫歯、歯周病のみならず、審美・美容歯科、口腔外科、矯正歯科といった幅広い治療に通じていることで、患者さんの状態に応じた最適な治療計画を立案し、実行することができます。
重い症状に対応する経験を有している
歯がボロボロの状態であっても、最適な治療を受けることは可能です。
重い症状に対応する経験豊富な歯科医師を選ぶことは、最適な治療の受けるために不可欠です。
こうした歯科医師は、それぞれの専門的な知識と技術を有するのみならず総合的な治療の経験を有していることが重要です。
そして、これには最新の医療機器の使用や専門的な手法が含まれることも多く、これらを駆使して症状の重さに応じて最適な治療計画を提供してくれます。
患者に寄り添った説明、相談を行ってくれる
歯がボロボロの状態で治療を求める際、その患者さんの不安を取り除き十分な説明と相談に乗ってくれる歯科医師を選ぶようにしましょう。
患者さんの症状や不安な事象や心配なことに合わせたて、具体的な治療計画の説明が行われ、治療の各ステップにおいて、何が行われるのか、どのようになるのかを明確に説明し、患者さんが自身の治療過程を理解し納得することで心理的な負担を軽減することが大切だと考えます。
設備の充実
設備が充実している歯科医院を選ぶことも、大切です。一般のデジタルX線撮影に加えやCTスキャンによる評価は歯や顎の状態を詳細に把握し、温存できる歯と抜歯を余儀なくされる歯を診断するためには必須であり、最適な治療計画を立てるのに不可欠です。
また、Ni-Tiファイルによる根管治療や光学印象など最新の医療機器を用いた治療は、治療の効率を高め、痛みや歯科治療に伴う不快感を大幅に軽減する役割を果たします。
ストレスのない歯科治療のための
リラックス麻酔と痛みのない局所麻酔
歯がボロボロの患者さんの中には、歯科治療が苦手、怖いなどの理由で歯科医院を受診できずに、歯の病気の進行を止められなかった方が少なからずおられます。
その観点から考えると笑気ガスや静脈鎮静法などのリラックス麻酔で歯科治療の怖さやストレスから解放されて治療を受けることができる歯科医院を選択することも大切だと思います。
歯の治療を行うときにする局所麻酔についても、まずは麻酔針を入れる部位に麻酔液をしみ込ませた綿を置き、しっかり粘膜表面が麻酔されたことを確認後に、はじめて針を用いた浸潤麻酔を行います。このことでほとんど痛みを感じることなく局所麻酔が行えます。
歯がボロボロになってしまう原因Cause
歯がボロボロになる原因は、
虫歯の進行と歯周病の進行です。
むし歯
虫歯を放置していると、虫歯菌が歯の中にある歯髄という空洞にまで入り込み神経を蝕(むしば)みます。この時にズキズキと激しく痛みますが、歯髄(歯の神経)が死ぬとズキズキという痛みはなくなります。
しかし、虫歯菌は歯の神経を死に追いやった後、今度は歯の根の先の骨を溶かして病巣(根尖病巣)を作ります。そうすると、噛んだら痛いという症状が出現したりします。と同時に、歯自体が壊されてボロボロになるのです。これが虫歯の進行です。

歯周病
歯周病を放置していると歯の周りの歯肉から出血や排膿を認めるようになり、同時に歯の周りの歯槽骨という歯を支えている骨がとけはじめ、歯がぐらぐらと動揺しはじめて、さらに放置すると歯の周りの歯槽骨から完全に浮いた状態になり、歯が自然に抜け落ちることになります。

悪循環
歯科医学的には、歯がボロボロになる原因は虫歯と歯周病ですが、実際は患者さんの「歯医者に行くのが面倒」「行く時間がない」「歯医者に行くのが怖い」といった理由で歯医者に行かないことで、虫歯や歯周病が進行し放置して、歯がボロボロになってしまい、更に「ボロボロの歯や口の中を見られるのが恥ずかしいから」「今さら歯科医院に行ってもどうしようもないと抜かれるのではないか」といった悪循環に陥って歯医者に行くのをためらってしまいます。
ボロボロの歯の患者さんに
伝えたいことWhat we want to say
こんなボロボロの歯で歯科医院を受診するのは恥ずかしいとか、歯科医師に何を言われるのか考えると怖い、歯科治療自体が怖い、その他の理由で、歯科医院を受診を躊躇されている方にお伝えしたいことがあります。
我々歯科医師は、歯を治し口の中を健全に保つことを職業としており、その患者さんが、どのような状況であるいはお気持ちで、そのような状況になってしまったのかといった色々なバックグラウンドも十分に理解できると思います。
実際にそのような患者さんは来院されたときには、「そうでしたか、大変でしたね、お役に立てれば幸いです。」と思うことが多く、「もしもよければ、頑張って治療を受けて頂いて、一緒に健康な歯と口の中を回復させましょう。」と、思います。
治療の進め方Treatment Flow
ボロボロの歯になるまで放置していた患者さんには何かしらの理由があると思います。その理由を詮索することはありませんが、意を決して歯科医院を受診された患者さんの様々な不安を取り除くことが大切だと思います。
歯科治療の内容がわからず不安にならないよう、費用の面で不安にならないよう、その患者さんの口に中の状況を理解していただき、診断結果やどのように治療を進めていくかという治療計画などをまず理解していただくとともに保険診療や保険外診療などの費用面に関してもしっかりと相談させていただき不安を取り除けるようにします。
具体的には、初診時、ほかの患者さんも同じですが、歯の病気についてご理解いただき、これ以上歯を悪くしない、歯を失わないようにするにはどのようにしたらよいのか、フロス、歯間ブラシ、歯ブラシなどで歯とお口の中を清潔することを再確認し、歯石除去などを行い口腔内を出来る限りクリーニングします。
その後、歯を温存できるのかを一本ごと精査、診断し抜歯しないといけない歯は抜歯を行い、虫歯治療や根管治療などを行って温存できる歯は残し、歯が欠損した部位については入れ歯やインプラント等をの治療を行います。
そして最も大切なことは、治療後も歯石除去や歯のクリーニングなどの、定期的メンテナンスに行い、歯と口の健康を保つことです。
最期にFinal Message

ボロボロの歯になった患者さんの「笑顔」を取り戻したい。歯科医院や歯科医師への「不信感」があればそれを払拭したい。
「以前、通ったクリニックで治療をした時には、説明も相談もなく、よくわからないまま治療された。治療期間も長く、いつ治療が終わるのか、治療費用ばかりかさみ……」といったお話をされる方が多く、心を痛めます。
当クリニックで治療された方には、歯がボロボロで来られた来院時のような状態に戻って欲しくない。そのためには、治療した歯を絶対に、もう一度、悪くしないために、我々、歯科医療人はできるだけ治療精度を高め、患者さんはメンテナンスを一生懸命していただく、このことが唯一の方法と考えます。患者さんを笑顔にするために、お役に立てれば幸いです。
ボロボロの歯の症例ケースCase Study
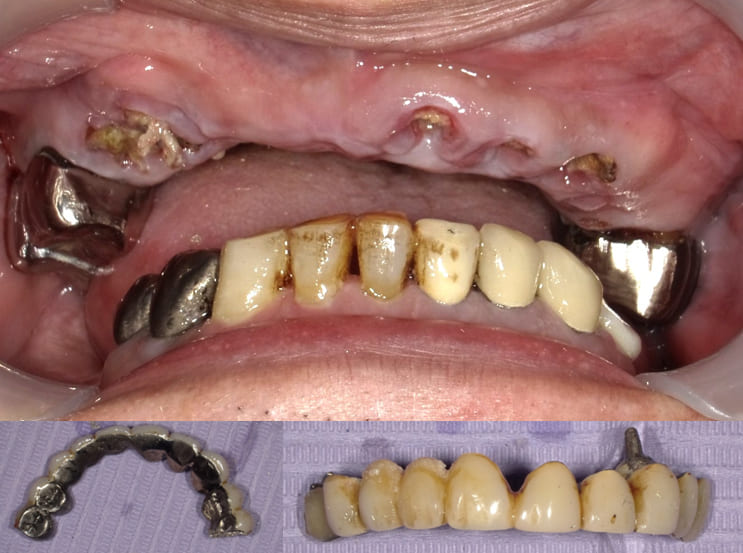
Case.01(40歳代 女性)
臼歯の Vertical stop の獲得と前歯の咬合・審美の改善のための治療を行った症例


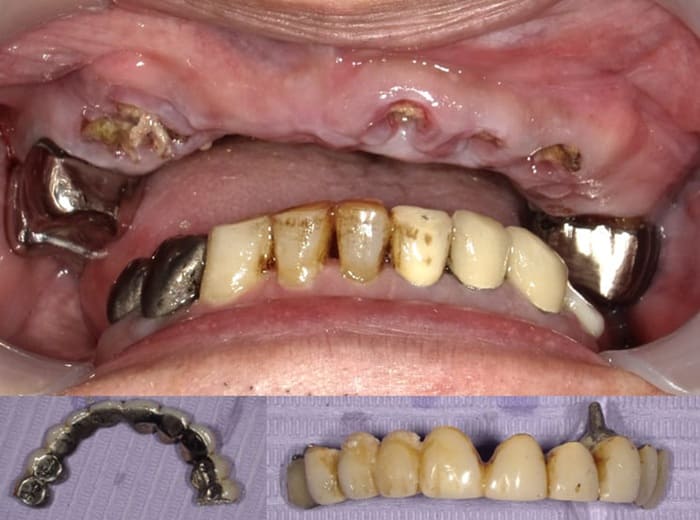
歯科恐怖症で歯科医院に受診できずに奥歯がどんどん崩壊して噛むことができず前歯も割れたので全顎的な治療を希望して来院。
全顎的インプラント治療が必要となるケース。
初診時のパノラマX-P所見

#17,15,14,13,23,24,27,36,44,45,46,47 が残根状態で温存は不可能であり、患者さん自身もそれを自覚しておられた。
治療計画と患者さんへの説明
両側上下の臼歯に関しては咬合が崩壊しており、まず臼歯部の咬合関係(Vertical Stop:奥歯はまっすぐ噛んだ時にガチッと噛み合い、物をすりつぶしたり噛み合わせの高さを保つこと)の再構築を行い、最後に前歯部をアンテリアガイダンス(前歯は下顎を左右前後に動かした時に奥歯が離れて、顎をバランスよく動かせるようにする役割)を考慮して再構築することを説明しました。
すなわち、奥歯をきちんとしてから前歯を治療することを理解していただきました。
特に女性の場合には前歯を先に直してい方が多いのですが、そうすると前歯だけの治療で終わった場合や奥歯の治療に時間がかかった場合に治療の不成功の可能性があることを理解していただきました。
治療計画
- 保存できない両側上下臼歯(残根)を抜歯
- 上顎の前歯部分に関しては温存できない#12,13を抜歯。温存できると思われる#11,21,22を支台としてブリッジ仮歯を入れ、抜歯後の治癒を待つ
-
両側上顎臼歯部にインプラントを埋入

-
両側臼歯部の咬合の再構築Vertical Stopが完成してから前歯部のインプラント埋入を行う

治療
上顎前歯部#12,23を抜歯予定でブリッジを除去したが#21が歯の破折により保存不可能と診断して#21も同日抜歯して仮歯を入れた。
他の温存不可能な残根も抜歯して上顎にインプラント5本を埋入した。なお#16に関してはソケットリフトを併用した。
-
- 治療時の画像(出血などの症例画像あり)
-



上顎のインプラント埋入後約1か月で、下顎臼歯部#35,36,44,45,46にインプラント埋入を行った。
-
- 治療時の画像(出血などの症例画像あり)
-



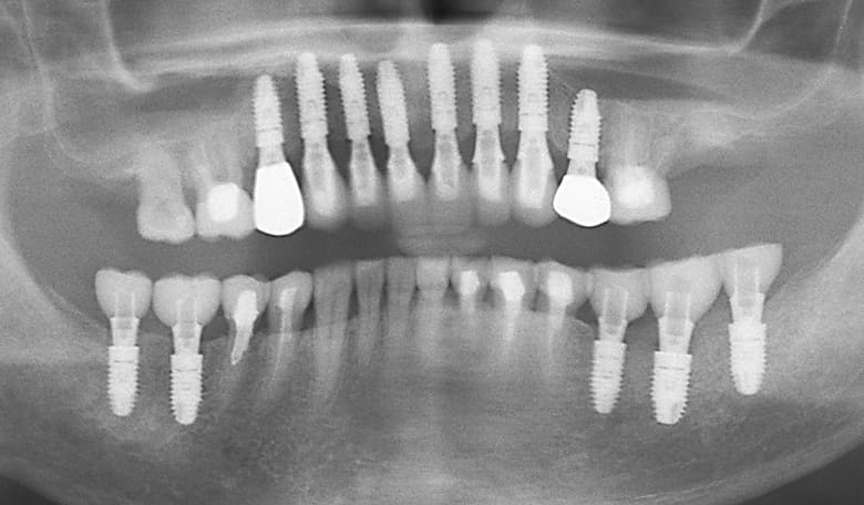
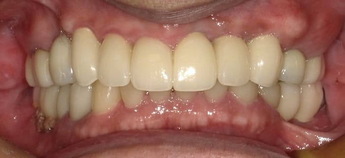
上顎インプラント埋入手術後4ヶ月でインプラント体と骨の結合を確認して両側上下顎臼歯部のインプラントに上部構造(歯の部分)を装着した。
臼歯部のVertical Stopを確保した上で上顎前歯部のインプラント埋入手術を行った。
-
- 治療時の画像(出血などの症例画像あり)
-


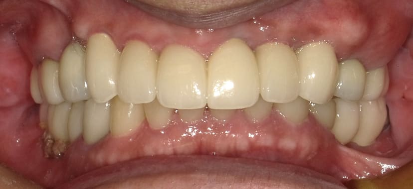
上顎前歯部インプラント埋入を行った後3ヶ月で前歯部のインプラントの歯の部分を装着するための印象、咬合採得と温存できた#13,12,21への歯冠補綴を行った(歯科技工士さん立ち会い)。



費用(税込価格)
| 総額¥7,125,000+保険治療本人負担分 | |
|---|---|
| 上顎前歯部仮歯代 | ¥16,500 |
| 長期TEK代 | ¥99,000 |
| 上顎臼歯部手術代 | ¥1,540,000 |
| 術前検査¥55,000、サージカルガイド¥104,500、 静脈鎮静¥88,000、手術代¥1,292,500 (ソケットリフト代88,000を含む) |
|
| 下顎手術代 | ¥1,387,500 |
| サージカルガイド¥104,500、静脈鎮静¥88,000、 手術代¥1,204,500 |
|
| 上顎臼歯部補綴代 | ¥1,111,000 |
| #25の歯冠補綴代金¥121,000を含む | |
| 下顎臼歯部補綴代 | ¥990,000 |
| 上顎前歯部手術代 | ¥881,100 |
| 術前検査¥55,000、サージカルガイド¥82,500、 笑気ガス¥5,500、手術代¥738,100 |
|
| 上顎前歯部補綴代 | ¥1,1000,000 |
| #11,22の歯冠補綴代金¥330,000、 歯科技工士立ち会い¥11,000を含む |
|
保険治療できる範囲は保険治療費用が発生。
Case.02(70歳代 男性)
20年ほど前に入れた第2小臼歯から反対側の第2小臼歯まで8本の歯をつないでいたブリッジが取れて噛めなくなり全顎的な治療を希望して来院

初診時のパノラマXP所見

上顎前歯を含む第2小臼歯から対側の第2小臼歯までの10本のブリッジが脱離しそれを支えていた歯自体が保存できない状態であった。また下顎の臼歯部も欠損しており、このことで垂直的な咬合の安定が得られず前歯に負担がかかる崩壊脱離したと考えられる。

#15,14,21,22,23,27,36が残根状態で温存は不可能であり、患者さん自身もそれを自覚しておられた。
治療計画と患者さんへの説明
- 上顎の前歯を含めた第2小臼歯までの10本のブリッジが脱離して土台の歯が温存できない状態である。
- 右側上顎臼歯部は下顎の臼歯がないことから、挺出しており左側臼歯部においても咬合平面(歯がかみ合う面の基準)が左右の臼歯部で歪んでいる。
- 上顎の治療が優先されるが温存できる歯は温存して温存できない歯に関しては抜歯し下顎にもインプラント補綴を行い、咬合関係を整えていきましょうとお話し。
治療計画
- 保存できない上顎の前歯(残根)を抜歯
- 両側上顎臼歯部にインプラントを埋入して上顎臼歯部は、温存してvertical stopを作り前歯部も含めて咬合を安定させる

治療

上顎前歯部と小臼歯部の温存不可能な残根を抜歯して1か月ほど待機して歯肉が抜歯窩を完全に閉鎖した状態でCTと口腔内の印象を取り最終補綴の予想WAX UPを1行いサージカルガイドを作成した。その後、上顎にインプラント8本を埋入した。

上顎にインプラント8本を埋入した術後のパノラマXP所見:上顎骨に対するインプラントの長さに関しては12mm-10mmが適切であり前歯部では12mmを小臼歯部では10mmを選択している。また左下のブリッジに関しては温存できなかった第2大臼歯が抜去されている。

上顎のインプラント埋入後約1か月で、両側下顎臼歯部にインプラント埋入を行った。左下のインプラント埋入では小規模の骨増生を伴うインプラント埋入を行った。

両側下顎臼歯部に対してのインプラントについては8mmから10mmが選択されるが骨量が十分あったことから10mmを選択して埋入した。左側の小臼歯部では水平的骨が若干、不足しているためドリリング時に採取された自家骨を骨増生として利用した。

上顎前歯部と両側小臼歯部はインプラント補綴を行い、両側の大臼歯部についても根管治療からやり直して咬合平面を改善すべく補綴を行った。下顎の両側臼歯部に関してもインプラント補綴を行い小臼歯部では根管治療からクラウンによる補綴を行った。左上7番に関しては当初インプラント補綴を行う予定であったがサイナスリフトを伴う治療になることと第一大臼歯までで十分噛めることから埋入せずに経過を見ている。

治療後の口腔内所見である噛み合わせも問題なく機能している。また、一本ずつのインプラント補綴を行ったことでフロスによるケアができ良好な口腔内環境を維持できている。
費用(税込価格)
| 総額¥8,255,880+保険治療本人負担分 | |
|---|---|
| 上顎前歯小臼歯インプラント手術代 (サージカルガイド・静脈鎮静代含む) |
¥2,056,320 |
| 術前検査 | ¥55,000 |
| 上顎前歯小臼歯インプラント補綴代 | ¥2,088,000 |
| 上顎大臼歯#17,16,26の歯冠補綴代金 (仮歯代も含む) |
¥538,920 |
| 上顎の治療費総額 ¥4,683,240 | |
| 下顎インプラント手術代 (サージカルガイド代、静脈鎮静代含む) |
¥1,371,600 |
| 下顎インプラント補綴代 | ¥1,242,000 |
| 下顎小臼歯・犬歯#45,44,32,33,34補綴代 (仮歯代を含む) |
¥959,040 |
| 下顎の治療費総額 | ¥3,572,640 |
| 下顎の治療費総額 ¥3,572,640 | |
保険治療できる範囲は保険治療費用が発生。
お支払方法
-
- キャッシュ
現金 - 現金払いに対応いたします。
- キャッシュ
-
- クレジット
カード - VISA、Mastercard、JCB、American Expressなど。
- クレジット
-
- デンタル
ローン - 保険外診療における治療費全般に対応しております。
- デンタル




