インプラント無料相談 Free Implant Consultation

その不安を、確信に変える
- 「失った歯を取り戻したいけれど、手術が怖い」
- 「他院で断られてしまった」
- 「費用がいくらかかるか不安」
そんなお悩みをお持ちの方へ。
当院では、日本顎顔面インプラント学会の指導医・専門医、サージカルガイド・ゴールドユーザー認定、ベストドクター、昭和大学口腔外科・元主任教授である深い専門知識を持つ院長が、あなたの疑問に一つひとつ丁寧にお答えします。
なぜ「無料相談」を実施しているのか?
インプラントは一生を左右する大切な治療です。納得がいかないまま進めるべきではありません。
セカンドオピニオン大歓迎
他院の診断に不安がある方の相談も承ります。
無理な契約は一切なし
相談したからといって、当日に契約する必要はありません。
専門医の視点
インプラント治療のプロフェッショナルとして、骨の状態や全身疾患を考慮した診断を行います。
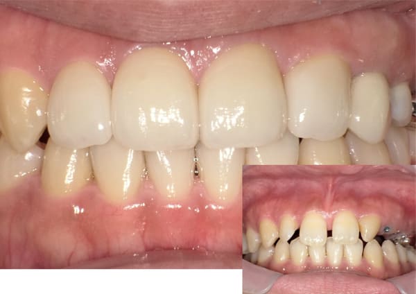
インプラント治療の症例ケース
CASE.01

CASE.02

無料相談の流れConsultation Process
-
STEP 1
- ご予約
- Web予約またはお電話にて「インプラント無料相談希望」とお伝えください。
-
STEP 2
- ご来院
- 現在の体調や既往歴などを問診票にご記入いただきます。
-
STEP 3
- カウンセリング
- 院長がが直接、お悩みをお伺いします。
-
STEP 4
- ご帰宅・ご検討
- 提示した資料や見積もりをご自宅でゆっくりご検討ください。
よくあるご質問インプラント無料相談のQ&A
-
- 本当に費用はかかりませんか?
-
カウンセリング自体は無料です。
※初診料やレントゲン・CT撮影を希望される場合は別途費用が発生します。詳細は予約時にご相談ください。
-
- 持病があっても相談できますか?
-
はい、当院は全身疾患をお持ちの方の治療経験も豊富です。お薬手帳をお持ちください。
