頬粘膜腫瘍 Buccal mucosal tumor
頬粘膜腫瘍とは
頬粘膜腫瘍(ほほのねんまくのできもの)についてこの項では、頬粘膜に発生する良性腫瘍について解説します。頬粘膜は、筋肉(頬筋)、結合組織、血管、脂肪、上皮からなる部位で小唾液腺も存在する部位です。組織学的な分類では線維腫、脂肪腫、血管腫、乳頭腫などが発生します。
線維腫
症例1 頬粘膜良性腫瘍(60歳代 女性)
頬粘膜のできものが大きくなり、違和感を認めるようになり気になり来院されました。粘膜組織の突出を認め頬粘膜良性腫瘍と診断して摘出術を施行しました。義歯のワイヤー鈎が刺激になって発生したとも考えます。
症例2 頬粘膜線維腫(40歳代 女性)
数年前から気になっていた頬粘膜のできものが徐々に大きくなり、よく噛むようになり来院されました。粘膜組織に弾性硬の腫瘍を突出を認め、頬粘膜良性腫瘍と診断し、摘出術を施行しました。

症例3 左側頬粘膜の血管腫(50歳代 女性)
以前よりあった頬粘膜の腫瘍が少し大きくなった感じがあるとのことで、来院されました。弾性軟の暗紫色の腫瘍であり圧迫により退色反応があることから頬粘膜血管腫と診断して摘出術を施行しました。

症例4 Navusメラニン色素沈着(20歳代 女性)
右側頬粘膜の黒色病変→Navus (ほくろ)メラニン色素沈着

症例5 頬粘膜腫瘍(線維腫)の手術(60歳代 男性)
左側の頬粘膜腫瘍を主訴に当クリニックを受診された。

左側頬粘膜に境界比較的明瞭な弾性硬の腫瘍を認め、線維腫疑いの良性腫瘍と診断して腫瘍摘出術を施行した。
局所浸潤麻酔を行い、腫瘍に糸をかけ、十分にカウンタートラクションをかけた状態で、メスで腫瘍に沿って木の葉状に切開し、牽引しながらメスで周囲の結合組織と腫瘍の境界を鋭利に剥離する。切る感じではなくて削ぐ感じでメスを用いることが重要である。

摘出物:線維腫 Fibromaの診断でした
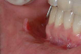
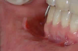
症例6 頬粘膜腫瘍(線維腫)の手術(40歳代 女性)
右側の頬にできものができ治らないので当クリニックを受診された。

右側頬粘膜に境界明瞭な弾性硬の腫瘍を認め、線維腫を疑い腫瘍摘出術を施行した。
局所浸潤麻酔を行い、腫瘍に糸をかけ、十分にカウンタートラクションをかけた状態で、腫瘍の境界に沿ってメスで上皮を木の葉状に切開し、牽引しながらメスで周囲の結合組織と腫瘍の境界を鋭利に剥離する。切る感じではなくて削ぐ感じでメスを用いることが重要である。










